在当今社会,电子烟已经成为一种流行的烟草产品。其中,relx电子烟因其时尚的外观和多样的口味而备受年轻人喜爱。然而,长期使用RELX电子烟会对肺部产生什么样的影响呢?电子烟网将通过介绍一个真实的案例,带领大家了解抽了一年relx电子烟的肺部是什么样的。同时,还将附上相关图片,以便大家更直观地了解。
relx电子烟的流行与健康隐患
relx电子烟以其独特的外观和口感吸引了大量年轻人。这些电子烟通常被认为比传统烟草更健康,因为它们不含焦油等有害物质。然而,长期使用relx电子烟仍然存在一定的健康风险,如肺部感染和呼吸道疾病。此外,一些研究表明,长期使用relx电子烟还可能增加患癌症的风险。
抽了一年relx电子烟的肺部是什么样的?
最近,一位名叫小李的年轻人因为持续咳嗽、呼吸困难等症状前往医院就诊。经过一系列检查,医生发现他的肺部存在严重感染,并最终确诊为慢性阻塞性肺疾病(COPD)。经过一番询问,医生了解到小王已经抽了一年relx电子烟。
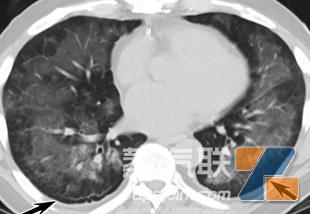
通过附上小王的肺部CT图片(如图1所示),我们可以清晰地看到他的肺部存在明显的炎症和肺气肿。这些病变使得小王的肺部功能逐渐丧失,严重影响了他的生活质量。

虽然relx电子烟在市场上备受追捧,但长期使用仍然会对肺部产生不良影响。通过了解抽了一年relx电子烟的肺部是什么样的,我们能够更好地认识到电子烟的健康风险。






