2019年7月以来,电子烟疑导致十几人死亡,数百人患病。为此,美国卫生部门将从严管控电子烟。但电子烟真的是罪魁祸首吗?
美国发生了什么?
据美国主要健康保障机构2019年10月1日提供的数据,美国电子烟烟民中有18人死亡,1080人肺部受损。
这一公共卫生事件在2019年7月始现于美国北部威斯康星州,其发展宛如一场流行病,随后全美国有几十个州的年轻电子烟民(80%小于35岁)均出现了令人不安的相同症状,包括咳嗽、呼吸困难、胸部疼痛、恶心等。
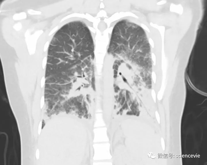
该扫描影像呈现了一名吸食四氢大麻酚的 19 岁女性的肺损伤。
对此,美国卫生管理部门迅速要求国人停止使用电子烟,并指出电子烟是导致疾病的根源;马萨诸塞州、旧金山市等地更是决定禁止销售。
调查显示,大多数电子烟受害者吸入的并非尼古丁,而是大麻的主要活性成分四氢大麻酚,后者在很多地区是被严格管控的,但一些年轻人在不知情的情况下非法购买到了掺假的电子烟液。
有些液体混入了维生素E油,还有的含抗蘑菇病害的农药腈菌唑。维生素E油口服无毒,一旦吸入却极为危险,它会集聚在肺泡并将其堵死,最终阻碍呼吸;而腈菌唑在加热后会转化为剧毒的氰化氢。
法国会上演同样的剧本?
答案是肯定的。
即使法国电子烟液销售比美国规范,仍然可能重蹈覆辙。大麻在法国也是违禁品,但有些消费者仍然有办法通过非法渠道买到含有毒品的电子烟液。
这一势头虽没有美国严重,却存在已久。法国成瘾监控中心协会的医生和药剂师时刻关注着毒品的传播,他们已经连续几年观察到这种情况。
“我们看到,从网络或街头购买电子烟液,吸食‘合成毒品’的年轻人越来越多。”协会主席若埃勒·米卡莱夫(Jo lle Micallef)指出。一些年轻的电子烟民被送到急诊室,有时还伴有幻觉、心脏问题、胸部疼痛等严重症状,这引起了医生重视。
在法国,最早的病例出现于2015年,如今已有100多例,患者多是青少年。“我们分析了他们用过的电子烟液,发现都含有合成大麻。”米卡莱夫表示。合成大麻与天然大麻一样,会影响人类大脑中大麻素(四氢大麻酚)受体,但其效力比天然的强200倍,因此危害性更大。
与法国相比,美国电子烟液的上市批准更为严格。美国食品药品监督管理局(FDA)规定,生产商必须提供电子烟液成分,其中导致烟瘾的尼古丁含量不得超过20 毫克/毫升。
此外,生产商还应当遵循更为严苛的标准——涵盖需规避的违禁成分以及生产电子烟液的最佳条件等,但这些要求并不是强制性的。
电子烟危害性更小?
确实如此。
香烟点燃时产生的烟雾含有多种能导致严重疾病的有毒物质。而电子烟液则是通过加热和蒸发的方式产生蒸汽,因此吸烟者吸入的蒸汽并不含有烟草燃烧时产生的有害成分。这也是为什么许多呼吸科医生认为,电子烟的危害性远远小于香烟。
香烟与电子烟对比
不过,长期来看,烟民吸入的蒸汽成分不见得是无害的,一切有待时间验证。所以,还是谨慎为妙!
电子烟有助于戒烟?
没错,它甚至可能是最有效的办法。
巴黎萨伯特慈善医院呼吸科 医 生 贝 特 朗· 多 森 伯 格(Bertrand Dautzenberg)认为,用电子烟替代香烟是不错的戒烟方法。如果选择优质电子烟,同时遵循医生的建议,就不会危害健康。
吸烟者戒烟难,因为身体对尼古丁产生了依赖性。烟草中的尼古丁本身并不致病,却会作用于大脑中的特定受体,给人带来显著愉悦感。
为了戒烟,烟民通常使用口香糖、含片、戒烟贴等物品代替香烟。这些替代品里虽然也有尼古丁,但不含香烟的各种有害物质。
据法国公共卫生部统计,2010年至2017年,有数十万烟民用电子烟成功戒烟。英国近期一项针对886名烟民进行的研究表明,电子烟的有效性几乎是其他替代品的两倍。有18%的电子烟民一年后戒掉香烟,而通过其他方法戒烟成功的人仅占9.9%。
电子烟有哪些隐患?
大部分电子烟油含有尼古丁,不仅会延长老烟民的依赖,更会让非烟民产生烟瘾。在美国,很多大学生抽电子烟尝鲜后,不知不觉染上了烟瘾,这种情况在高中更甚。
FDA指出,2018年有超过360万年轻人经常抽电子烟,比2017年激增了78%!FDA对此深感不安,于是广泛开展预防宣传活动,以期引起青少年警惕,该机构还把矛头对准了美国知名电子烟品牌JUUL。
法国 Fruizee 牌水果味电子烟贴有各类彩色贴纸,主攻年轻消费者。
该品牌的电子烟外观小巧低调,像一个U盘,简便易用且可以充电,有芒果味、焦糖奶油味、薄荷味等选择,2015年在美国一经推出,迅速征服了北美电子烟市场。在青少年中,抽电子烟俨然成了一种潮流时尚!
2018年9月,美国政府宣布准备下架除烟草味外的所有调味电子烟。同年年底,由于受到各方围攻,JUUL决定把吸引年轻消费者的大部分调味电子烟撤出市场。
在法国,JUUL电子烟上市已有1年,但尚未引起大规模流行。2018年春,法国对2万名中学生进行了一项调查,结果表明,一半高中生至少抽过一次电子烟,而2015年时这一比例仅为三分之一。






